SonoScape X10

портативний-узд-апарат-х10

Передовий портативний УЗД апарат X10 : розумна візуалізація для будь-яких потреб. Універсальне базове рішення в лінійці портативних апаратів УЗД від SonoScape, модель X10 поєднує в собі найсучасніші технології та необхідні клінічні функції. Цей апарат забезпечує ефективний робочий процес у різних умовах, дозволяючи медичним фахівцям ставити впевнені та точні діагнози під час надання базової медичної допомоги.

Широкі клінічні можливості та стабільна продуктивність. Апарат ідеально підходить для радіології, акушерства та гінекології, кардіології та вузькоспеціалізованих досліджень.

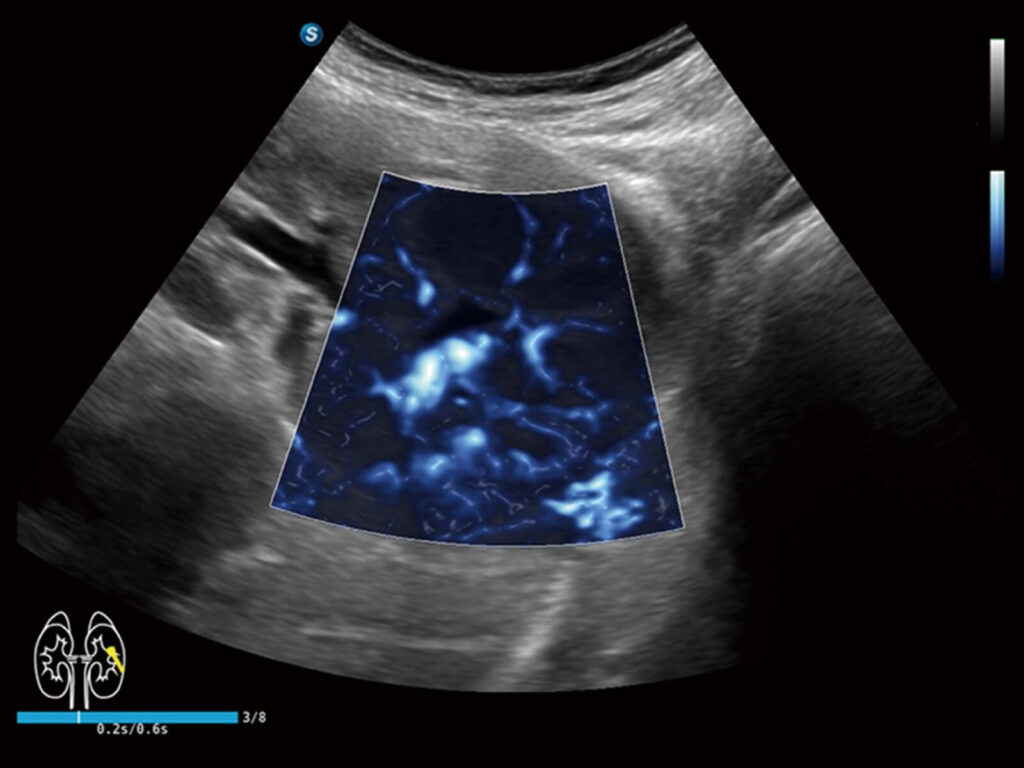
Виняткова УЗД візуалізація кровотоку розкриває всі деталі:

Micro F: Технологія ефективно відокремлює слабкі сигнали кровотоку від рухів навколишніх тканин, забезпечуючи підвищену чутливість та високу просторову роздільну здатність при відображенні гемодинаміки.
Bright Flow: Забезпечує об’ємну (3D-подібну) візуалізацію кровотоку в режимі кольорового доплера без використання об’ємного датчика, що значно покращує чіткість меж судинної стінки.
FHR: Дозволяє спостерігати за мікросудинною перфузією органів з високою частотою кадрів, підвищеною чутливістю та чудовою роздільною здатністю завдяки вдосконаленим алгоритмам.

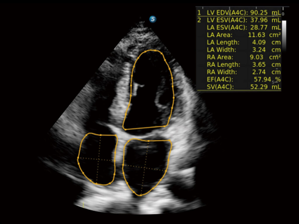
УЗД апарат для Кардіології

S-CV (PW та M-режим): Забезпечує інтелектуальне вимірювання спектрального доплера в режимі реального часу. Автоматично розпізнає кардіологічні проекції, позиціонує контрольний об’єм та виконує розрахунки з мінімальним втручанням лікаря.
S-CV (2D вимірювання): Вимірювання серця в 2D-режимі на заморожених зображеннях одним кліком. Інтелектуально аналізує структури серця та розраховує розміри, площі й функціональні показники (наприклад, фракцію викиду — EF).
MQA: Аналіз руху міокарда в різних проекціях із побудовою кривих для таких параметрів, як стрейн (деформація), швидкість деформації, швидкість та зміщення.

Stress Echo (Стрес-ехокардіографія): Оцінка функції серця та кровотоку в умовах навантаження для виявлення ішемічної хвороби серця та оцінки життєздатності міокарда.

УЗД апарат для Радіології та загальних досліджень

ATI (Acoustic Attenuation Imaging): Кількісна оцінка стеатозу печінки шляхом вимірювання коефіцієнта затухання, що допомагає лікарям визначити ступінь жирового гепатозу для надійного прогнозу.
CEUS (УЗД з контрастуванням): Динамічне та детальне відображення перфузії утворення. Комбінація режимів MFI, MF Time та MFI Mix дозволяє оцінити перфузію з різних ракурсів для точної діагностики.
Elasto (Еластографія): Компресійна (strain) еластографія для якісного аналізу жорсткості тканин та комплексної оцінки утворень.

УЗД апарат для Акушерства та гінекології

3D/4D візуалізація: Чітке об’ємне зображення плода для точної анатомічної оцінки та моніторингу розвитку протягом усієї вагітності.
Auto OB: Автоматичне вимірювання біпарієтального розміру голови плода, обводу голови, обводу живота та довжини стегнової кістки, що суттєво економить час лікаря.
Auto NT: Функція автоматичного розпізнавання та точного вимірювання максимального діаметра комірцевого простору плода для ефективного скринінгу хромосомних аномалій.

Елегантна форма, потужна продуктивність

  • Ергономічність: Компактний візок X10 з можливістю індивідуального налаштування висоти для максимального комфорту лікаря.
  • Потрійна система візуалізації: Інноваційний дисплей стану батареї, 12.3-дюймовий сенсорний LCD-екран та основний 15.6-дюймовий LCD-монітор.
  • Зручність в управлінні: Трекбол з регульованою чутливістю для максимально зручного проведення вимірювань.
  • Легка зарядка: Магнітний порт зарядки забезпечує швидке підключення живлення та захищає кабелі від зношування.
  • Розширення можливостей: Підтримка розгалужувача від 1 до 4 датчиків для безмежних можливостей сканування.
  • Тривала автономна робота: Додатковий акумуляторний блок E-Pack збільшує час автономної роботи до 8 годин (у поєднанні з батареями візка), гарантуючи безперебійний робочий процес.

Купити УЗД апарат або отримати консультацію можна звернувшись по телефону в м. Київ: (044) 227-59-29 або залиште заявку на сайті і ми з вами зв’яжемося.

    Залишилися питання?

    Введіть дані в форму нижче і наш фахівець зв'яжеться з вами найближчим часом.



    • Як працює функція автоматичного вимірювання Auto OB?
      Функція Auto OB оптимізує акушерські дослідження шляхом автоматичного визначення ключових біометричних показників плода. Вона самостійно вимірює такі параметри: - біпарієтальний діаметр (розмір) голови плода; - обвід голови; - обвід живота; - довжину плечової кістки. Таким чином, функція працює за рахунок ефективного зменшення кількості натискань клавіш, які лікар зазвичай робить вручну, що суттєво економить його дорогоцінний робочий час під час проведення ультразвукового скринінгу.
    • Які переваги дає функція ATI для дослідження печінки?
      Функція ATI (Acoustic Attenuation Imaging) забезпечує наступні переваги при дослідженні печінки: - Кількісна оцінка стеатозу: функція дозволяє кількісно оцінити жировий гепатоз (стеатоз) печінки шляхом вимірювання коефіцієнта затухання - Визначення ступеня ураження: вона допомагає лікарям об'єктивно оцінити ступінь вираженості стеатозу - Надійний прогноз: завдяки точним вимірюванням клініцисти можуть скласти більш достовірний та надійний прогноз для пацієнта.
    • Які можливості надає функція CEUS для діагностики утворень?
      Функція CEUS (ультразвукове дослідження з контрастуванням) надає такі можливості для діагностики утворень: - Динамічне відображення перфузії: детально та в динаміці показує процес кровопостачання (перфузії) в утворенні - Багатостороння оцінка: завдяки комбінації режимів MFI, MF Time та MFI Mix лікарі можуть оцінювати перфузію утворень з різних ракурсів. - Точність та ефективність: такий комплексний підхід забезпечує проведення більш точної та ефективної діагностики.
    • Які переваги дає технологія Bright Flow для візуалізації судин?
      Технологія Bright Flow забезпечує об'ємну (3D-подібну) візуалізацію кровотоку в режимі кольорового доплера, при цьому для її роботи не потрібен об'ємний датчик. Головна перевага цієї технології для візуалізації судин полягає в тому, що вона значно покращує чіткість меж судинної стінки.
    • Скільки годин апарат може працювати автономно з E-Pack?
      З додатковим акумуляторним блоком E-Pack час автономної роботи апарата може бути збільшений до 8 годин (за умови використання разом із батареями візка). Це забезпечує безперебійний робочий процес та дозволяє проводити дослідження без необхідності частої підзарядки.